来源:北京希玛林顺潮眼科医院
2018-03-06
眼睛发红其实就是患上了"红眼症",但大众的观念多认为红眼症就是因感染而引起并具有传染性的眼疾。但其实出现"红眼症"的原因很多,常见引起红眼症的病因可分为传染性以及非传染性,其中流行性角结膜炎(Viral Conjunctivitis)属于传染性的"红眼症",而常见的非传染性"红眼症"则主要包括结膜下出血(Subconjuntival Hemorrhage)和表层巩膜炎(Episcleritis)。由于前两个眼疾笔者之前都已经进行详细讨论,因此本文内容主要会对表层巩膜炎进行介绍。
上传患者病历,希玛在线挂号为你安排治疗
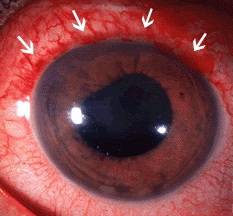
另一方面,除以上常见的病因外,急性青光眼、角膜破损或溃疡以及葡萄膜炎等眼疾严重时都可能引起"红眼症",但与上述三个眼疾不同的是,这种眼睛发红主要是围绕在角膜周围的充血(Ciliary Flush)(图1),若发生这种红眼症多属严重眼疾,需要尽快找眼科医生诊治。

(图1若出现围绕角膜周围的充血,则应考虑是急性青光眼、角膜溃疡及葡萄膜炎等严重眼疾,应尽快找医生诊治)
表层巩膜炎及其病因
巩膜即眼睛俗称"眼白"的部分,是眼球壁中坚韧的一层,主要由胶原组织构成,儿童巩膜较薄,呈蓝白色,至成人逐渐变为黄白色。巩膜主要作用是保护眼球内部组织,并维持眼球的形状。另一方面,巩膜作为可以直接看到的胶原组织,很多时候是观察全身结缔组织疾病的一个"窗口"。
不知道自己是不是患上巩膜炎?点击在线咨询
巩膜的表层和深层组织结构有所不同,表层巩膜是巩膜上方的一层薄的血管较多的弹性组织,表层巩膜炎是较为常见的局部性发炎。而深层的巩膜血管较少,而深层巩膜组织发炎,较表层巩膜炎少见,但病情通常比表层巩膜炎严重,主要为双眼发病且时间长,治疗差,又易反复。
表层巩膜炎是浅表巩膜的发炎,多数是急性发病,少部份病人会转为慢性病程,而部份病人有反复倾向,炎症常发生于角膜边缘与眼直肌附着点之间的区域内。主要症状是局部的白眼球处出现眼红及眼痛,因此容易被一般人误认为结膜炎。但巩膜发炎一般没有分泌物增多的表现。表层巩膜炎主要发生在春秋交际,中年女性比较多见,少部份患者会并发虹膜炎。但总的来说,表层巩膜炎的病人一般恢复良好,较少影响视力。
目前表层巩膜炎很多都无法找到明确的病因,一般认为是压力大或是内分泌异常所造成,但有部份的患者可以是由自身免疫类的疾病引起:包括风湿性关节炎、红斑狼疮、强直性脊椎炎、痛风、异位性皮肤炎、慢性感染疾病(如结核、梅毒和病毒感染)等。
表层巩膜炎的治疗
由于表层巩膜炎很多时候与身体其他疾病有关并有反复的倾向,因此重要的治疗原则是去除病因,预防反复。即使无法确定病因,这一眼疾一般不产生性的眼球损害,因此若症状轻微,通常无须特殊处理,或可以考虑局部使用类固醇药物。
点击了解更多治疗详情
若病情较重或频繁发作,则应该仔细检查病人是否合并有自身免疫或结缔组织的疾病,如果以上情况都同时出现,那么病人很有机会在表层巩膜炎的同时还存在深层巩膜的炎症,此时若延误治疗,巩膜的胶原细胞可能会逐渐被炎症细胞溶解,而发生巩膜变薄,甚至组织溶解,而令后面的脉络膜组织暴露,引起严重的并发症。因此若病情较严重,必要时可口服类固醇甚至是免疫抑制药物。另外,病人如合并虹膜或者睫状体发炎时,应及时滴用放大瞳孔眼药水,以放大瞳孔同时帮助减轻炎症。
除结膜炎外,表层巩膜炎亦是红眼症的病因,然而两者的治疗方向大不相同,病人自己可能无法清楚分辨,但医生通过简单的检查就可以区分两种眼疾。虽然表层巩膜炎一般不会对视力造成影响,若延误治疗也可能出现严重后果。因此若发生红眼症,应该向眼科医生谘询,以免延误治疗时机。
治疗眼科疾病,到北京希玛林顺潮眼科医院

(北京希玛眼科医院接待处)
北京希玛眼科医院作为港资眼科专科医院,不仅引进了先进的眼科仪器设备,而且聘用的医生皆为眼科领域内知名的眼科医生,其中包括来自海外的专家及中国香港的专家,汇聚了海内外经验丰富且知名的眼科专家,在治疗技术、医生专家、仪器设备等各个方面都与接轨,其性及术后质量都有保障。
点击了解更多北京希玛详情
北京希玛林顺潮眼科医院秉承"水平、港式管理、优质服务、合理收费"的宗旨,紧贴眼科发展新趋势,以亲切至诚的态度,严谨的专业操守和优质的医疗及护理服务,为病人提供多元化的专业眼科一站式高端服务。
在线预约方便、快捷!
温馨提示:北京希玛林顺潮眼科医院已经开通网上
在线咨询平台,如有疑问请拨打健康热线电话010-53090998,北京希玛林顺潮眼科医院医生将为您细心解答!